Tag: contagios
Detectan un caso de viruela del mono en Kanasín
En Yucatán de registró un caso más de viruela del mono, con este nuevo caso, ya suman en el estado, 18 las personas contagiadas...
Quintana Roo suma tres caso de viruela del mono
La viruela del mono continúa expandiéndose en Quintana Roo y, al corte del 8 de agosto ya se registran tres casos.
Así lo detalló el...
¿Qué variantes de COVID aún están en circulación?
La Organización Mundial de la Salud (OMS) decidió mantener la emergencia internacional por la pandemia de COVID-19, en vigor desde hace casi dos años...
Ssa reporta más de 2 mil contagios en 24 horas
La Secretaría de Salud (Ssa) reportó en las últimas 24 horas dos mil 132 contagios de Covid-19, lo que acumuló 5 millones 877 mil...
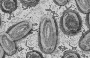
Viruela de mono: Qué es y cuáles son sus síntomas
A partir del 7 de mayo cuando se dio a conocer el primer caso de viruela de mono en el Reino Unido, las alarmas...
Clases presenciales deben ser obligatorias, considera la Asociación de Padres y...
El presidente de la Asociación de Padres y Madres de Familia en Quintana Roo, Sergio Acosta Manzanero, consideró que las clases presenciales deben ser...
Todo lo que debes saber sobre la nueva variante de ómicron
En días recientes, los titulares han anunciado sobre una variante Ómicron que estaría creando una desastrosa nueva ola de COVID-19. Según los científicos, esta...









